動物病院 品川区 西小山 大田区 大岡山 北千束

突然片目が赤くなってしまった【網膜剥離】

【 ご来院の理由 】

突然片目が赤くなってしまった。

 

 

【 処 置 】

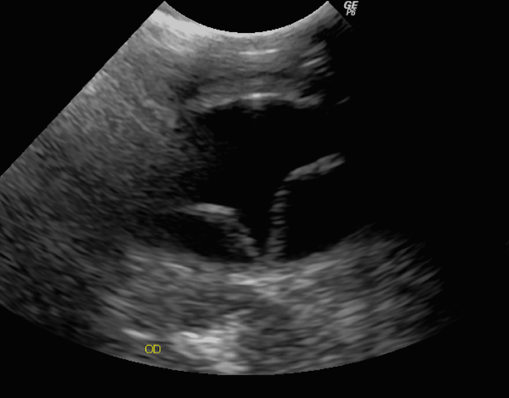
各種検査より腎性高血圧による網膜剥離と診断しました。

血圧のコントロールを行うことによりもう片方の目は問題なく生活することができました。

 

超音波検査にて網膜剥離を確認した